Periodoncia
Periodoncia
¿Qué es la periodoncia?
Es la especialidad que trata el conjunto de los tejidos de soporte del diente, desde la encía hasta el hueso.
¿Cómo evitar enfermedades periodontales?
Es necesario mantener una correcta higiene bucodental, para evitar así la formación de placa bacteriana y sarro.
Cepillo dental
Seda dental
Cepillo interdental
Irrigador dental
Mínimo durante al menos 2 minutos, siempre tras cada comida, cepillando el diente hasta la encía (aunque en algunas ocasiones, si la encía está muy inflamada, moleste un poquito).
Sujetando el hilo, cinta o seda dental, firmemente con los dedos pulgar e índice de cada mano, se introduce suavemente de arriba a abajo, realizando movimientos horizontales y manteniéndola apretada contra el diente, entre piezas contiguas.
Utilizado presionando ligeramente el cepillo entre el espacio que queda entre dientes, realizando movimientos horizontales de dentro hacia fuera, evitando que el cepillo gire.
¿Qué es la periodoncia?
Es la especialidad que trata el conjunto de los tejidos de soporte del diente, desde la encía hasta el hueso.
¿Cómo evitar enfermedades periodontales?
Es necesario mantener una correcta higiene bucodental, para evitar así la formación de placa bacteriana y sarro.
Cepillo dental
Seda dental
Cepillo interdental
Irrigador dental
Mínimo durante al menos 2 minutos, siempre tras cada comida, cepillando el diente hasta la encía (aunque en algunas ocasiones, si la encía está muy inflamada, moleste un poquito).
Sujetando el hilo, cinta o seda dental, firmemente con los dedos pulgar e índice de cada mano, se introduce suavemente de arriba a abajo, realizando movimientos horizontales y manteniéndola apretada contra el diente, entre piezas contiguas.
Utilizado presionando ligeramente el cepillo entre el espacio que queda entre dientes, realizando movimientos horizontales de dentro hacia fuera, evitando que el cepillo gire.
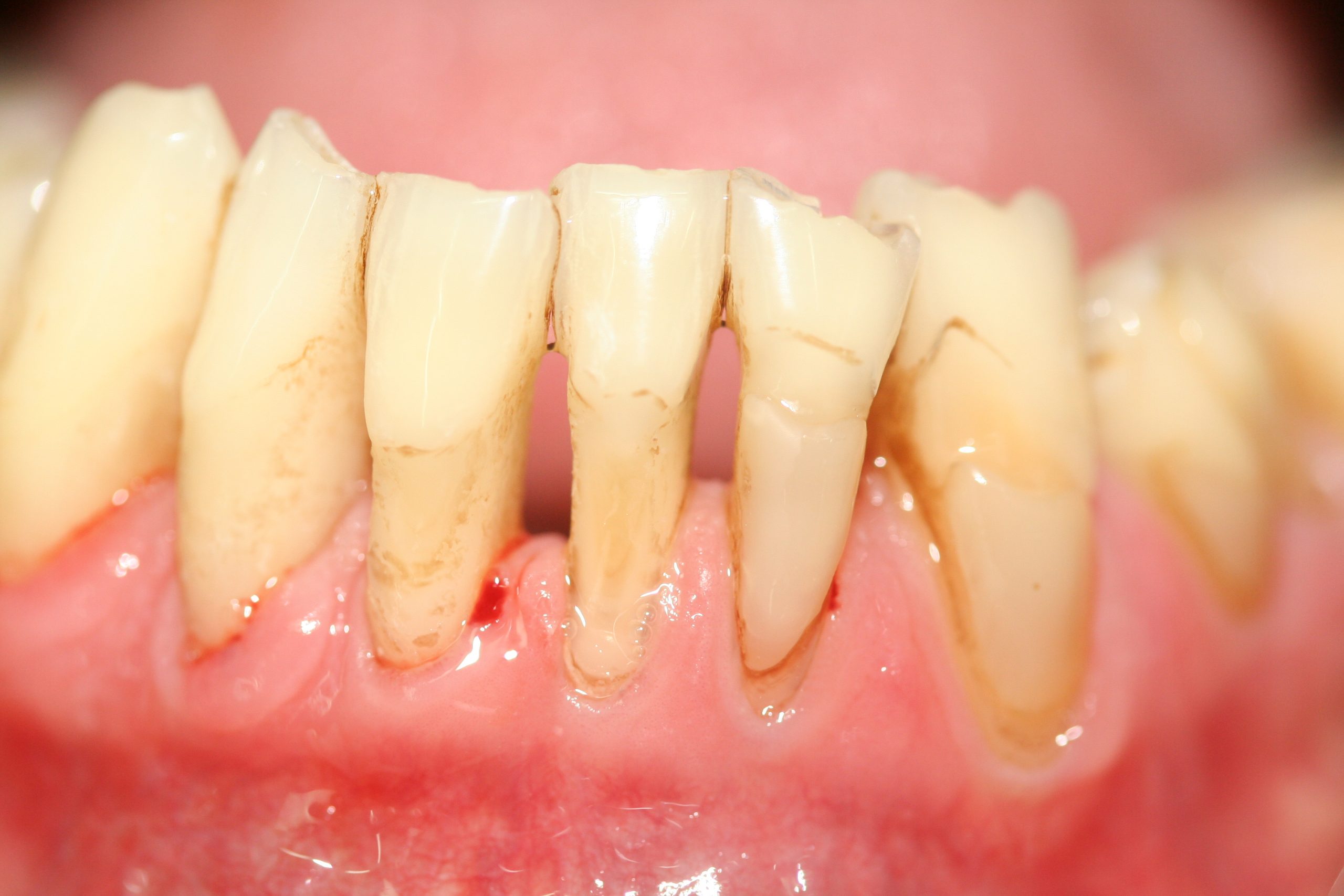
Enfermedades más comunes
Gingivitis
Es la inflamación de las encías debida a la acumulación de sarro entre ésta y el diente, provocando su inflamación y sangrado.
Si la enfermedad no se coge a tiempo y sigue su evolución puede derivar en una periodontitis.
Periodontitis
La inflamación de la encía destruye los ligamentos y tejidos que rodean el diente, lo que provoca que la encía se vaya progresivamente separando del diente causando la Bolsa Periodontal (espacio entre encía y raíz del diente).
El tratamiento de las enfermedades periodontales varía en función de su gravedad, siendo necesaria la cirugía en los casos más avanzados.
Enfermedades más comunes
Gingivitis
Es la inflamación de las encías debida a la acumulación de sarro entre ésta y el diente, provocando su inflamación y sangrado.
Si la enfermedad no se coge a tiempo y sigue su evolución puede derivar en una periodontitis.
Periodontitis
La inflamación de la encía destruye los ligamentos y tejidos que rodean el diente, lo que provoca que la encía se vaya progresivamente separando del diente causando la Bolsa Periodontal (espacio entre encía y raíz del diente).
El tratamiento de las enfermedades periodontales varía en función de su gravedad, siendo necesaria la cirugía en los casos más avanzados.
Contáctanos Ahora
¡Solicita ahora tu Revisión Gratuita!


